Czasem leczę jeden ząb, a czasem zmieniam cały uśmiech, ale zawsze leczę potrzeby moich Pacjentów. Mikroskop stomatologiczny to narzędzie, które pozwala mi dostrzegać to, co jest niewidoczne dla oka nieuzbrojonego.

CASE STUDY

I

CASE STUDY

II

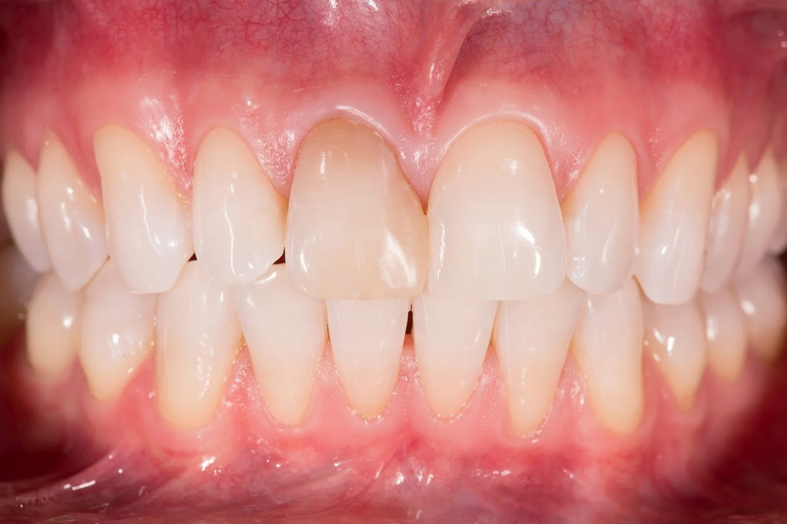
CASE STUDY

III

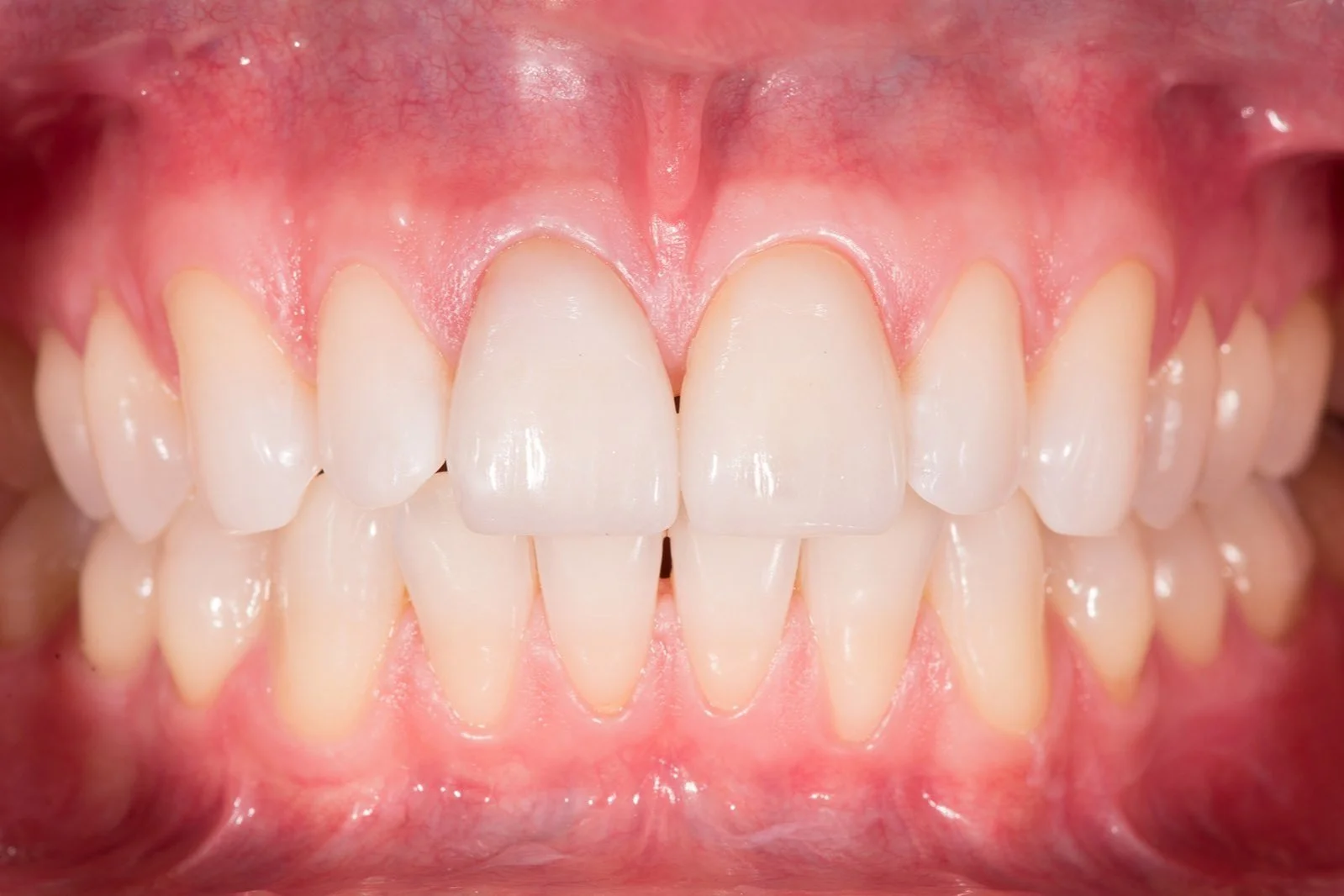
CASE STUDY

IV

CASE STUDY

V

CASE STUDY

VI

CASE STUDY

VII